SureSmile Clear Aligners In Poway, CA

A comfortable, confident way to straighten your smile.

What Is SureSmile?

A modern approach to teeth straightening.

Two hands holding Suresmiles clear aligners with their case on their palms

SureSmile clear aligners in Poway offer a clear, removable option for orthodontic treatment that helps straighten teeth without metal brackets or wires. These custom made aligners move your teeth gradually using advanced technology. 

Each set fits comfortably and supports steady alignment of your upper and lower teeth.

Unlike traditional braces or traditional metal braces, SureSmile clear aligners blend into your appearance. Patients across Poway and San Diego appreciate how aligners are designed to fit into daily life while delivering predictable, effective orthodontic correction.

Benefits of SurSsmile Clear Aligners

Why patients choose this treatment.

A Discreet Look You Can Feel Confident About

Clear aligners offer a virtually invisible alternative to metal braces. You can smile freely during treatment without metal brackets affecting your appearance.

Designed Around Your Lifestyle

Removable aligners make eating, brushing, and flossing simple. You remove them when needed and wear them comfortably throughout the day.

Efficient and Comfortable Movement

SureSmile clear aligners use state of the art planning to create smooth tooth movement. Many patients experience less irritation compared with braces.

Personalized Care From Start to Finish

Each customized treatment plan reflects your unique needs, bite issues, and desired results for a healthier smile.

Who Is a Good Candidate?

Is this the right option for you?

A brunette woman with glasses smiling

Many patients looking for teeth straightening ask if they are a good candidate for clear aligners. This treatment works well for adults and teens with mild to moderate alignment concerns.

You may benefit if you have:

  • Crooked teeth or gaps

  • An overbite, open bite, or crossbite

  • Bite issues affecting comfort

  • Crowding in upper or lower teeth

During your consultation, our dentist will determine if SureSmile is a great option for your orthodontic correction. Clear aligners treat many cases, including some complex cases, when planned carefully.

We evaluate your gums, teeth, and smile goals to create a personalized treatment plan that supports optimal results.

The Finance and Insurance with SureSmile

Insurance

During your consultation, our dentist will determine if SureSmile is a great option for your orthodontic correction. Clear aligners treat many cases, including some complex cases, when planned carefully.

We evaluate your gums, teeth, and smile goals to create a personalized treatment plan that supports optimal results.

Payment Options

We offer a variety of payment methods for your convenience:

  • Cash

  • Credit Card

  • Check

  • CareCredit

The Process of Getting SureSmile Clear Aligners In Poway

Simple steps, guided care

Step One: Your consultation

We begin with a thorough consultation at our Poway practice. Dr. Joe listens to your concerns, examines your teeth, and uses advanced technology to determine alignment needs.

Step Two: Your Customized Treatment Plan

Dr. Joe creates a customized treatment plan using digital scans. Custom made aligners are designed to straighten teeth gradually and comfortably based on your specific needs.

Step Three: Progress and Regular Checkups

You wear each next set of aligners as directed. Regular check ups allow necessary adjustments and ensure progress stays on track throughout the treatment process.

A shot of our amazing Dr. Joe

Why Choose Dr. Joe

Dedicated and professional care for your smile and oral health.

Your Poway family dentist, Dr. Joe N.T. Nguyen, is dedicated to your complete health. He combines genuine care with a practice thoughtfully designed for your comfort and convenience, ensuring a better dental experience.

Our Technology

  • Digital X-rays

  • CEREC or in-office crowns

  • Digital scanner (CEREC Primescan)

  • CBCT scanner (3D scanning)

  • 3D printer

  • Intraoral camera

  • HEPA filters

  • Extra-oral aerosol vacuum system

  • KaVo Handpieces

  • Virtual digital smile design

During your consultation, our dentist will determine if SureSmile is a great option for your orthodontic correction. Clear aligners treat many cases, including some complex cases, when planned carefully.

We evaluate your gums, teeth, and smile goals to create a personalized treatment plan that supports optimal results.

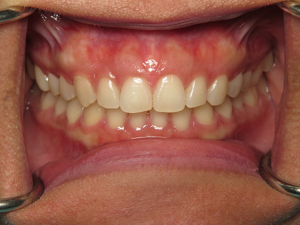
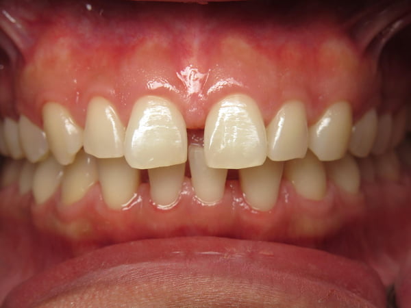
Take a Look at the Results

A close-up of a patient's teeth before clear aligner treatment
A close-up of a patient's teeth after clear aligner treatment
‘‘ We have been going to Dr. Joe for more than 15 years and recommend him every chance I get! Everyone at his practice is exceptional, Esther & Julie are the best! Simply stated, you will be in great hands! ’’

Yvonne S.

‘‘ First visit and great experience. I'm pretty busy and they fit me in and took care of me. What sets them apart is their service and they show you everything they are doing. ’’

Carl M.

‘‘ Excellent experience with Dr. Joe - it's no wonder that he's got so many perfect scores. ’’

Bruce B.

‘‘ It is so hard to find a good dentist these days but Joe and staff have thus far exceeded my expectations! ’’

Kyle H.

‘‘ Best dentist and staff I have had the pleasure of having. Nothing is pushed, they all chat with you like a friend. ’’

Ed H.

FAQs About SureSmile Clear Aligners In Poway

Honest answers from a patient perspective.

Would You Like More Information?

Whether you are ready to book a consultation or have a few more questions, we would be happy to hear from you.